royal皇家88

Call us now0755-8668-0658 Emailinfo@gaoyoutc.com
面对乳腺癌,她依旧“生如夏花”
文章作者:admin 所属类别:乳腺癌 阅读量:3334

“生如夏花”是诗人泰戈尔的著名诗篇,他告诉royal皇家88:生命之美好,活的要像夏季的鲜花那般绚烂,要努力让自己去绽放;人生难免会有各种不如意,即使是悲伤,royal皇家88依然可以淡然处之,就如秋叶般静美的接受这样的结局。

 

“癌症”,这两个字,把我带入了一个新的、又极其特殊的领域,结识了很多新的、极其特殊的朋友。她们都是蘸着自己的泪和血,续写着自己险恶坎坷的历程、与死神生死搏击的人生,这些鲜活深邃故事,深深地感动了我!震撼了我!

 

 

风韵犹存的她,却患上乳腺癌

 

她,50岁,7年前被查出乳腺癌后,接受了手术和化疗等治疗。经过多次复查,没有出现复发迹象。在这期间虽然付出了不小的经济代价,但生命是最重要的,换来平安是值得的。6年后感觉自己的身体出现异样,医院的检查结果犹如晴天霹雳:乳腺癌复发伴淋巴结和骨转移。又不得不接受一次又一次的化疗,病情没有好转,而且感觉身体被掏空了,面黄肌瘦,头发掉光,恶心呕吐。此时夫妻俩苦心经营的店面也面临倒闭。真是祸不单行!

 

双重的打击让她特别悲观。她在最迷茫的时候结识了我,royal皇家88聊了很多很久,从她和老公的创业,到孩子长大后结婚生子,一切都是那么的不容易,现在活到了这个年纪她觉得可以了,此生无憾!更加不想拖累孩子与老公,花这么多钱去治疗。与她聊了近三个多小时,后期也找了她老公与孩子,一起劝解她,终于打消了她极端的念头。

 

 

笑对生活,它也会善待于你

 

她抱着一线希望,再次去医院就诊。医生热情地接待了她,并根据她的情况,建议她放弃放疗和化疗,接受ACTL抗肿瘤细胞免疫治疗这种精准治疗技术手段。在听完医生介绍ACTL科研治疗没有明显的毒副作用,不影响生活质量后,毅然签下了治疗的知情同意书。

 

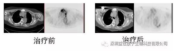
针对她的情况,医生为她计划了一份ACTL科研治疗方案,主要针对CEA,BA46和Her-2/neu三个抗原靶点。经过一个疗程,即6次ACTL科研治疗后,不仅病情明显好转,而且整个人看起来容光焕发,头发浓密,皮肤也白皙了不少,恢复到病前状态。

 

我非常清楚知道,这一切是来得有多么不容易,一个美丽的生命又一次取得重生的喜悦,重新绽放,生如夏花——是我最大的欣慰。

 

以下左图为治疗前情况,复发后转移病灶非常明显。右图为10个月ACTL科研治疗后复查结果,转移病灶明显消失。经5年余追踪观察,无复发迹象。


关键词:
分享: