
冯某,男,63岁,确诊为肺腺癌并伴骨转移及淋巴结慢性炎,行切除手术+淋巴结清扫术。同年12月5日检查, PET/CT显示:新出现全身多发骨转移,多个椎体和附件、双侧多根肋骨、左锁骨肩峰端、胸骨柄、双侧髂骨、左坐骨右股骨上段;T5椎体血管瘤可能;T12椎体上终板Schmorl结节;部分椎体退行改变;新增胆囊结石。之后行口服靶向药吉非替尼及双磷酸盐药物天晴依泰治疗。
复查:CEA增高至12.2 ng/ml,CA125增高至102.1 U/ml,复查PET/CT示:骨转移范围较前增大,基因检测结果EGFR20外显子T790M突变,口服奥希替尼治疗。
ACTL治疗靶点确定:
考虑患者已失去手术治疗指征,且不愿进行化疗,但病情较重。遂根据患者的血肿瘤标志物化验结果,针对癌胚抗原(CEA)、角质蛋白19型抗原(CK19)、一种黑色素瘤抗原(MAGE-A3)、生长素抗原(Survivin)为靶点抗原的ACTL靶向性细胞免疫治疗(简称“ACTL”)。第一阶段治疗为每7天一次的冲击治疗,以达到尽快杀灭癌细胞,阻止病情进展为目的。
ACTL治疗后的变化:
主要血清学肿瘤标志物检测下降明显,CEA下降至5.1ng/ml,趋于正常值范围,CA125已降至正常值;患者病情好转,胸部疼痛明显减轻。CT复查显示:左坐骨转移灶较前降低,范围较前缩小,边缘毛刺状阴影几乎消失,余骨转移病灶明显降低,其他大致同前。
ACTL治疗前后肿瘤标志物前后曲线对比情况:
检查显示肿瘤标志物出现“反跳”现象,经专家讨论,陆续在观察和影像学检查显示,初步判断为正常现象。PET/CT复查示:原C1、胸骨柄、左锁骨转移灶较前代谢相对缩小;余骨转移灶代谢较前明显降低,颈部、胸、腹、盆腔其余部位未见明确代谢异常增高灶,范围大致同前。患者在治疗期间无明显症状,未出现毒副作用,现睡眠良好,体力恢复正常,生活、精神状态良好。
ACTL治疗前后肿瘤标志物变化图:

ACTL治疗前
ACTL治疗后
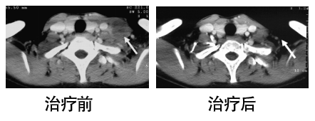
ACTL治疗前后影像学变化图:
ACTL治疗前:

ACTL治疗后:


X某,男,63岁。晚期肺癌患者[右上肺腺癌 cT1cN3M1b IV期 (双肺、双侧肺门纵膈淋巴结、右侧第9肋骨及右侧胸膜转移,胸水)]。由于患者已失去手术治疗指征,且对传统化疗有所顾虑,但病情较重。遂根据患者的血肿瘤标志物化验结果,同年7月开始进行以癌胚抗原(CEA)、角蛋白19(CK19)和糖类抗原15-3(CA15-3)为靶点抗原的ACTL靶向性细胞免疫治疗(简称“ACTL”)。第一阶段治疗为每5天一次的冲击治疗,以达到尽快杀灭癌细胞,阻止病情进展的目的。在治疗期间患者无明显毒副作用,自觉精神状态尚可,并能坚持游泳锻炼。
8月胸部CT检查与6月胸部CT检查结果对比显示,右上肺前段软组织密度结节较前略增大,但未超过20%以上。根据肿瘤生物治疗的irRC疗效评估标准,判断病情为稳定状态(irSD)。同月因胸水细胞学检查提示EGFR 21号外显子错义突变,开始口服第三代小分子靶向药物(奥希替尼)。

血化验cyfra21-1(CK19片段)恢复正常,血CEA和CA15-3异常水平明显下降。鉴于奥希替尼仅服用二周,故可判断ACTL治疗发挥作用。同月25日胸部CT检查显示双肺病灶明显好转,瘤负荷量下降,肋骨转移病灶无变化,胸水开始减少。但出现左肺片状影,为奥希替尼所致的间质性肺炎。因患者无明显的相关症状,考虑不予以处理。
陆续在2次胸部CT复查表明,双肺的瘤负荷量继续下降,胸水减少,肺斑片影密度变淡。患者精神状态佳,无自觉症状。
今年1月底胸部CT复查显示右上肺前段结节继续缩小,边缘毛刺状阴影几乎消失,肋骨转移病灶无变化。颅脑核磁检查未发现脑部转移。根据治疗效果和患者状态,ACTL治疗频率调整为10天一次。
CEA和CA15-3恢复到正常范围,cyfra21-1继续保持正常。现患者精神、体力状态佳,睡眠、饮食正常,面色红润,声音洪亮,并可外出旅游。现在,依照患者情况将治疗频率调整为2周一次的常规治疗方案,并考虑以微创治疗进一步降低原发病灶的瘤负荷,对于间质性肺炎、胸水和骨转移不进行针对性处理。
动态胸部CT扫描结果分析

(红箭头所指处为右上肺前段的原发病灶,明显减少)


根据血清肿瘤标志物变化曲线图可明显发现,在治疗过程中血肿瘤标志物有短暂反弹,随后其异常水平大幅下降,符合肿瘤生物治疗的特点。

肺淋巴上皮瘤样癌(Lymphoepithelioma-like carcinoma,LELC)是一种罕见的肺部恶性肿瘤,属于非小细胞肺癌范畴。根据WHO 肺癌组织新分类中归入肺大细胞癌的一个亚型。由于LELC是一种罕见、独特类型的肺癌,现在在治疗上非常棘手。对身体健康无害,精准杀伤效率高的ACTL靶向性细胞免疫治疗给LELC患者带来希望。
刘某,男,53岁,因身体出现胸痛胸闷、咳嗽、咯痰等不适就医检查,确诊为肺淋巴上皮瘤样癌。化疗治疗未见缓解,病情急剧恶化,出现大量胸水,并右侧骨转移。
复查,影像学诊断:1.右下肺及右肺门区见大片水规则软组织肿物,大小约87mm×86mm,边缘呈结节融合状,坏死较前明显。2.双侧锁骨上、双肺门、隆突下、双上下气管旁、主动脉旁、双下肺韧带见广泛淋巴结转移3.双侧胸腔积液(左侧中量,右侧大量)。右侧胸膜见多发结节,大者短径约17mm,强化明显,考虑转移。4.肝内见多发结节,最大约40mm×30mm,界清,部分呈囊状,考虑转移。5.T5右份见稍低密度影(se11-im49),边缘轻度硬化,考虑转移可能,6.T12椎体上缘见一结节(im132),直径约8mm,较前新增,考虑转移可能。
在当地医院接受阿替珠单抗(PDL-1)加培美曲塞二钠的治疗方案。并进行针对肺癌姑息放射治疗。因病情无好转,患者要求自动出院。出院诊断为:1.右肺淋巴上皮瘤样癌全身多发转移;2.肺癌感染;3。胸腔积液;4.心包积液;5.慢性乙型肝炎病毒携带者;6.肝功能异常(谷草转氨酶,谷丙转氨酶升高)。
患者自感胸部疼痛,呼吸困难, 不可平躺,无法入睡。只有在服用止痛药的情况下维持三小时左右的睡眠。经上次的放化疗治疗后,患者拒绝再次体验痛苦不堪的日子,于是前往广东求医问诊。经专家会诊后,行微创手术,以降低瘤负荷量的同时,进行ACTL靶向性抗肿瘤细胞免疫科研治疗(简称:ACTL技术)。
ACTL科研治疗靶点确定:
根据患者的肿瘤组织的免疫组化检测结果,ACTL科研治疗的靶抗原为:癌胚抗原(CEA)、角质蛋白19型抗原(CK19)、前列腺特异性膜抗原(PSMA)。
ACTL科研治疗后的变化:
ACTL科研治疗为每10天一次,两次治疗后,患者自感疼痛感减少,睡眠明显改善,可长时间独立行走。胸部B超检查示:右侧胸腔少量积液,左侧胸腔未见积液。
现患者接受ACTL科研治疗降至每月二次。治疗期间未出现毒副作用和新病灶,胸水已完全消失,无疼痛感,睡眠正常。这是顺利获得ACTL科研治疗后见效特别快的患者之一,期待有更多治疗时间短、效果好的患者。让科技见证生命的奇迹。
ACTL科研治疗前后的对比图:



表皮生长因子受体酪氨酸激酶抑制剂(epidermal growth factor receptor-tyrosine kinase inhibitor, EGFR-TKI)是治疗晚期非小细胞肺腺癌的重要药物,具有确切的疗效。但其最大缺点是容易出现耐药而导致患者复发。这些复发患者仍可能是ACTL靶向性细胞免疫治疗(简称“ACTL治疗”)的适应症。
胡某,男,58岁,江南某地企业家。因确诊为非小细胞肺腺癌。接受手术治疗后,续以化疗和EGFR-TKI小分子靶向药物为主的治疗。病情得到有效控制。但1年后出现复发,出现疲乏、失眠、呼吸困难、胸部剧烈疼痛等症状。胸部CT检查显示:两肺新见多发小结节,考虑转移性肿瘤,纵膈内多轻度肿大淋巴结。超声检查显示:左胸水,左锁骨上淋巴结肿大。病理诊断:(左锁骨上淋巴结穿刺活检)转移性低分化癌。
由于患者已经产生心理抗拒,拒绝进行是否具有第三代EGFR TKI小分子靶向药物治疗适应症的基因检测,且不愿接受化疗。经患者查询后,也拒绝医生推荐的PD-1单抗药物治疗。经医生推荐,表示愿意尝试ACTL靶向性抗非小细胞肺腺癌免疫治疗。
ACTL科研治疗靶点确定:
根据患者的肿瘤免疫组化检测结果,ACTL科研治疗的靶抗原为:CEA(癌胚抗原)、CK19(角质蛋白19型)、Her-2/neu。
ACTL科研治疗后的变化:
ACTL科研治疗一个月后,即二次治疗后,患者病情好转,胸部疼痛明显减轻。CT复查显示:胸腔积液较前减少。两肺多发微小结节,较前片明显缩小、减少。
患者共接受ACTL科研治疗4次,治疗期间未出现毒副作用。现胸水完全消失,身体已无疼痛感,睡眠明显改善。患者得知ACTL科研治疗有可能阻断或延缓第三代EGFR TKI小分子靶向药物的耐药性后,同意进行相关的基因检测。
小结:对于晚期非小细胞肺腺癌,通常经4至6次ACTL科研治疗方可观察到疗效。该患者经两次治疗就出现病情缓解,生活质量改善。其原因尚待研究。
ACTL科研治疗前后对比:
治疗前影像学示:两肺多发小结节,考虑转移性肿瘤。纵膈内多发轻度肿大淋巴结。
治疗后影像学示:两侧多发微小结节,较前片明显缩小、减少。

宫颈癌是现在为数不多有可能治愈的癌症之一,导致宫颈癌的主要原因就是HPV病毒感染,其中HPV-16、-18型是高危型。张小姐在体检中查出该两型的HPV病毒为阳性,并住院接受治疗,但效果并不好。遂开始接受ACTL科研治疗,在七次治疗后,检查结果提示“未见乳头瘤病毒感染”。
患者张某,女,宫颈HPV(乳头瘤病毒)检查提示HPV16和HPV18型阳性。在没有其他治疗的情况下,患者接受了ACTL科研治疗。治疗七次后,患者复查,结果提示“未见乳头瘤病毒感染”。
患者信息 :女性患者,35岁
诊断 :(1)宫颈上皮内瘤变二级 (2)宫颈HPV感染
治疗史 :4月18日,在基础麻醉下行宫颈环形电切术。
针对HPV靶点进行ACTL治疗。
ACTL科研治疗方案:每月两次治疗,治疗时间3个月。整个治疗期间未合并其他治疗。
ACTL科研治疗结果:HPV转为阴性。治疗期间无任何毒副反应。


相比于伤痛,比伤痛更痛苦的是再次揭开自己的伤疤。我曾经历过一场可怕的灾难。如今距离这场灾难已有6年多。
6年前,我正在做家务的时候突然感觉下腹坠痛,下体还断断续续流出一些褐色分泌物,当时考虑是炎症就没有过多在意,这些症状持续了半个多月依然没有减轻,我和老公才意识到病情的严重性。便到医院进行了检查,被诊断为宫颈癌,刚得知这个消息的我如同遭受到晴天霹雳。
我知道我可能活不了多久了,经常失声痛哭。整天头脑中只浮现一个问题,“现在的我应该怎么办?”我还有两个孩子要抚养,那个时候一个孩子在上大学,一个正在上高中,我不能丢下他们,我不止是个病人,更是一个母亲。我觉得每一个母亲都是伟大的,也许正是这种信念激发了我强烈的求生欲望。
于是我便开始了一条异常艰辛的求生之路,在医生的推荐下,我先进行了放射治疗,后又进行了化疗。现在回想起那段治疗的日子真是生不如死。
虽然过程很痛苦,但在接受治疗的日子里,我从这一周活到了下一周,从这一次体检活到了下一次体检。亲友们经常来看我,开导我。家人也非常关心我,他们给了我希望。在我很痛苦的时候,我就想着我一定要撑过这个星期,撑到下一次化疗,撑到下一个月,我想要活下来。就是这样给自己定目标,目标的实现帮助我度过了一个又一个恐惧的黑夜。
那时我经常祈祷这样的治疗能为我争取更多的时间,毕竟生与死都只在朝夕之间。只是没想到的是,最让我担心的还是来了。宫颈癌复发了,盆腔出现明显的转移病灶。当时主治医生看了PET-CT检查结果后,就告诉我必须改变治疗方式了,否则有可能病情会越来越糟。经过医院专家会诊,建议我接受ACTL抗肿瘤靶向性细胞免疫科研治疗。最让我没想到的是老公当时想都没想,就答应了。他日后同我讲:“只要有一线希望,就绝不放弃!”听到这话后,抱着他哭了很久很久,把压抑已久的情绪都释放出来了。由于我的宫颈癌是由人乳头瘤病毒16型(HPV-16)感染所致,因此,ACTL针对的是HPV-16的抗原和肿瘤抗原,经过6个月的ACTL科研治疗,每月二次,半年后,我的转移病灶基本消失了。这对royal皇家88一家人来说是这二年多以来听到最好的消息。几个月过去了,肿瘤没有复发。一年、两年、三年、四年过去了,时光流逝,肿瘤也没有复发。我很感激帮助我的所以人,特别是主治医生,没有他帮我制定正确的治疗方式,我怎么会有第二次生命。怎么会见证了两个孩子从大学毕业到成家立业。
其实,在治疗期间,我除了不愿放弃生的希望外,最主要的是我依然坚持每天跑步,运动,与家人聊天,只吃健康的饮食,作息时间特别规律,早睡早起,比正常人生活的更好。虽然我击败了病魔,但是如今提到这件事依然让我心有余悸。肿瘤没有击败我,可我还是留下了后遗症。但我依然感激生活,因为我存活了下来,我感激我拥有我的一切。
我分析刚得知患癌的女性心理。明白他们的惊恐、担忧、沮丧,因为我都经历过。苦闷和陷入痛苦很容易,但是你必须释放掉这些情绪,否则它们会慢慢侵蚀你,因为恐惧比病痛更痛苦。生活很简单,不要把它变得复杂。将痛苦和焦虑合理释放后,用正确的方式与病魔抗争。熬过漫漫的黑夜后,黎明的日出会更美。

我国乳腺癌的发病率逐渐升高。近年来具有明显精准医疗特征的生物治疗开展迅猛,极大丰富了乳腺癌的治疗手段。靶向性细胞免疫治疗在治疗和预防乳腺癌复发已经显现很好的疗效。隐匿性乳腺癌较为少见,但靶向性细胞免疫治疗仍可取得令人满意的疗效。
孙女士,58岁,出现无明显诱因出现腰骶部隐痛,后又出现腰背部疼痛,并逐渐加重。活动时明显伴右下肢乏力,精神、饮食、睡眠变差,体重下降。
PET-CT检查表明示:(1)多处骨溶骨性破坏并软组织团块形成,糖代谢异常增高,考虑为恶性骨肿瘤性病变,多发性骨髓瘤可能性大(2)右侧乳腺内粗大钙化灶。
(3)全身浅表淋巴结肿大,腰骶部压痛。当地医院初诊为多发性骨髓瘤。住院数日后,患者的身体疼痛扩散至全身,无法正常行走。医生建议患者立即接受大剂量化疗,并活动时需要特别小心,以免引起非常严重的骨折。
但患者及其家属不愿意接受化疗,遂请肿瘤专家会诊。专家建议第一时间进行病理检查,再进行针对性治疗。病理检查发现肿瘤细胞具有乳腺癌细胞特征,确诊为晚期隐匿性乳腺癌伴广泛骨转移。
根据病理诊断结果,专家为患者制订了以ACTL靶向性抗肿瘤细胞免疫治疗联合抗雌激素内分泌治疗的综合治疗计划。
ACTL科研治疗靶点的确定:
根据患者的免疫组化检测结果,确定靶抗原为:癌胚抗原(CEA)、乳汁蛋白46抗原(BA46)和黏蛋白抗原(MUC-1)。
ACTL技术治疗后的变化:
经过ACTL联合内分泌治疗两个月,即每十天一次,患者病情明显好转,疼痛等症状逐渐消失,血CEA水平明显下降,CT检查显示骨转移病灶明显减减少。经6次ACTL科研治疗后,治疗频率降低至每月2次。
现在,患者已接受ACTL科研治疗近两年时间,未出现任何副作用。疼痛等自觉症状消失,饮食、睡眠均已正常。正常活动不会感到胸闷、气短。每天坚持跳广场舞,并能外出旅游,常分享旅游照片和生活趣事,过着闲情逸致的生活。
小结:以ACTL联合内分泌治疗对于出现广泛骨转移的晚期乳腺癌患者能达到缓解或控制疾病开展,并增加和丰富晚期乳腺癌有效的治疗方法。病理组织,即肿瘤组织的检查不仅可以判断能否进行靶向性细胞免疫治疗以及其它治疗,而且对于疾病的确诊非常重要,避免误诊。
※ 血清CA15-3的变化是许多ACTL靶向性细胞免疫治疗有效患者的典型表现,在治疗期间,出现血肿瘤标志物的短暂升高时,瘤负荷量下降明显。
ACTL科研治疗前后影像学变化图:




癌症,听到这两个字,你怕了吗?不知道你怕不怕,反正在我的病史里看到这两个字,我是真的怕了,我恐惧,我迷茫,我不知所措!
请允许我与你分享,这一年来我所经历的一切噩梦与美好。
噩梦降临 你牵着我的手
噩梦起于前年12月份,我正享受着安逸的退休生活,可我的臀部不知不觉地痛起来了,活动时尤其明显,右腿也逐渐感觉到乏力,我当时不以为然,还以为可能是天气、饮食、活动等原因造成的,时好时坏,症状反复出现。半年后,家人发现我这样下去不对劲,爱人就陪我去医院,还做了一大堆检查项目,检查到最后的时候,我的心就乱了,女人的第六感告诉我,这次可能遇上大坏事了。
所有检查结果出来以后,医生和我的爱人在诊室外面悄悄地说了一些话,然后很平静地走进来,我的爱人也安静地走到我身边,握着我的双手,我感觉得到冰冷的双手还有些许颤抖,医生说:“H女士,您好,刚才我和您的爱人沟顺利获得了,他愿意我把您的病情完全告诉您,希望您能坚强又正确地面对一切,经过现在的检查,结果是全身多处溶骨性破坏,考虑多发性骨髓瘤可能性大……”
啊!当时,感觉我的天要塌了,我一句话也没说,脑海里只有“骨髓瘤”三个字在回旋……
梦醒了 你陪我面对现实
我得了癌症的消息一传开,家人亲戚朋友纷纷来问候我,给我传送正能量,想方设法地为我到处打听肿瘤界的高端技术,到处为我拜访肿瘤专家。我知道亲朋好友们有好多话不敢在我面前说,怕我听到会伤心,欲言又止,心头万绪却又不知从何说起。
后来做了一系列的检查,在6月最后确诊为隐匿性乳腺癌,全身骨转移。也就是说没有发现乳腺里中存在癌肿,但乳腺癌细胞已经转移扩散至全身的骨头了。
我害怕,害怕到不敢正视亲人的双眼,因为我能感受到你们对我深深的爱与悲伤!我悲伤,女人的多愁善感让我总忍不住流下痛心的眼泪,一个人的时候,感觉到呼吸都是痛的! 我惶恐,期待而又恐惧看到下一次体检结果,等待,是最痛苦的折磨!
苦难见真情!看到身边所有的人为了我不分日夜地奔波,努力为我寻找生命之光,哪怕只有一线希望都不放过。我能想到最浪漫的事,就是和你慢慢变老,和你,和你们一起!我的心再冷,都有你们来把我温暖。我痛,但我是幸福的!
有你们,那么爱我,我必须坚强地面对现实,我不能被那噩梦压倒,我将用尽全力与癌症作斗争,不再让眼泪陪我过夜。
曙光来了 你助我续写美好人生
功夫不负有心人!为了减少我的痛苦,我的家人不断在努力地为我寻找更好的治疗方法,缘份让我遇上了ACTL技术。
我的家人还给我上了一堂专业课,现在我简单地分享给大家——ACTL全称为ACTL靶向性抗肿瘤细胞免疫技术,是在美国阿肯色大学研发,并且与美国、德国、意大利、日本、台湾召开了多项科研合作,已在中国、美国、欧盟以及其它国家取得了专利授权,5年内取得20余项国际、国内新专利。家人给我说了很多成功的例子,听得我满心欢喜,让我觉得ACTL就是我这段灰暗日子里的曙光,带给我更多的希望。很快,我在家人的帮助下做了相关指标检查,对于治疗,我最终选择了内分泌治疗联合ACTL的治疗方案。
传统治疗方法通常要求定期接受住院治疗,ACTL科研治疗不需要住院,这一点我非常喜欢,我依旧可以正常在家里生活,只需要每月做两次抽血和回输细胞即可,每次半小时左右,相对于化疗和内分泌治疗,ACTL科研治疗几乎没有不良反应。联合治疗以后,我的身体比之前好多了,臀部不痛了,右腿也不乏力了。医院检查的肿瘤标志物有所下降,影像学结果也显示我的病情好转。这一切结果都比我想象中的好,我的亲朋好友看到我现在的精神状态都非常激动,没想到我好得那么快,看上去和健康人一样。如果只是单纯地使用传统治疗方法,我真担心自己的身体承受不起,真不敢想象那样过得会是什么日子。
患者肿瘤标志物水平在开始ACTL科研治疗后持续下降
我能有今天,我要感谢把ACTL带到我身边的家人,感谢royal皇家88团队,是你,是你们,给我带来了生命曙光,助我续写美好人生。
我希望能够顺利获得我的绵薄之力,将这伟大的技术告诉我身边的人,希望他们能和我一样幸运,让royal皇家88一起与癌症作斗争!

乳腺癌是女性排名第一的常见恶性肿瘤。美国癌症协会指出全球每年约有1.3亿名妇女被诊断为乳腺癌,约46.5万名妇女死于乳腺癌,乳腺癌的发病率在全球均呈上升趋势,每年以2%-3%的幅度增长,开展中国家尤为迅速。与其他癌症相比,乳腺癌患者手术后,不仅承受着身体上的痛苦(女性第二特征的缺失),也承受着心理上的痛苦(自信心的缺失)。
随着我国乳腺癌发生率的不断提高、发病年轻化,以及早期诊断技术的逐步开展,保乳手术已逐步替代乳腺癌改良根治术,成为首选手术方式,并且结合生物治疗,让乳腺癌的治疗更具有针对性、更科学、更合理化,“私人定制”时代已经到来。
这是一例晚期合并骨转移的乳腺癌患者接受靶向性T细胞治疗前后的对比。接受治疗前,脊柱有多处转移灶,剧烈疼痛。
由免疫组化检测得知患者的肿瘤细胞表达Her2/neu,CEA和BA46这几个肿瘤相关抗原,是ACTL的攻击靶点,回输的T细胞可以精准消灭表达这些抗原的肿瘤细胞。经过四个月的治疗,脊柱转移灶明显减少,患者疼痛减轻,病情明显改善,生活质量显著提高。该患者已生存超过6年。

“真羡慕你现在的状态,淡然如清风,内心坚固如磐石。”
昨晚,和年轻的乳腺癌姑娘李微(化名)在微信聊天时,她突然对我说这话。聊天的过程中我能深深感觉到她内心强烈的不安,一个个饱含纠结和无助的文字如机关枪般像我扫来。
她现在肯定很无助、纠结、低沉,而我却什么也做不了,只能默默陪伴她,安慰她:“既然改变不了已经发生的事,那就实行适应一切的准备”。和她讲诉着另一个患乳腺癌朋友的事,以此来鼓励她。
朋友第一次发现右侧乳房出现硬块,去医院检查,医生说没什么大事,只是乳腺增生,不用担心,听了医生的话她也放心下来。
那时候朋友刚刚毕业,工作很忙碌。即使发烧也没有阻止她工作。因为怕停下来,所有努力都会前功尽弃。除了忙碌还是忙碌,根本无暇顾及乳房出现的“小小硬块”,想着既然医生说没问题,那就不会有什么大问题,谁又能料想到就是这个硬块最终把她逼向乳腺癌的深渊呢?
因为乳房的硬块又大了,疼得受不了。她再次去医院检查,这次她却被告知,患了乳腺癌。之后便就是准备进行手术,她无法接受身体出现残缺,尤其是对于女性最重要的一部分——乳房的缺失。她觉得失去了乳房活着和死没什么区别。当她还在缺少乳房的悲伤中时,另一个消息又让她倍受打击——乳腺癌复发了!她一度曾想过就这样离开人世,不治了!
看到她对生命无恋,亲朋好友轮流的陪伴她,鼓励她,她才又重拾自信,并在朋友的帮助下分析到ACTL靶向性抗肿瘤细胞免疫技术。当时因为她已是晚期合并骨转移的乳腺癌患者,脊柱转移严重,并且有剧烈疼痛。royal皇家88的教授针对她这种情况使用了CEA、BA46和Her-2/neu抗原的ACTL治疗了4个月,4个月后她的脊柱转移病灶明显减小,疼痛减轻,治疗后至今已存活6年。
以下是她的治疗前后对比照:
|
|
|
|
|
|
现在在她身上早已看不出癌症患者的任何痕迹,和常人无异,甚至比正常人的精神状态还要好。乳腺癌没有让她一蹶不振,反而让她开始了另一种新的生活,她在和乳腺癌斗争的这几年中,她和我说:“她得到的远比失去的要更多”。
听了我朋友的事,李微(化名)说:“这让她更加有自信了,一定可以战胜乳腺癌这恶魔,并好好享受每一天的生活”。在这我也想对所有女性说,乳腺健康需要精心呵护,养成乳腺自我预防检查意识是每个女性都必须具备的。如果累了,别撑着,休息,睡觉!天塌下来让高个顶着。如果你烦了,逗自己开心!让烦恼的时间缩短再缩短。如果委屈了,痛哭一场,宣泄掉所有负能量!然后洗把脸对着镜子里的自己傻笑一个,告诉镜子里的人你才是最重要的。

“我曾经把确诊癌症的检查报告,看作死神送来的通知单,告诉我时日不多。不过现在,我认为这种消极悲观的想法是不可取的,要客观面对现实,不要放弃一线希望。否则我就不可能接受ACTL靶向性细胞免疫技术科研治疗,活不到今天。”刘先生说道。
刘先生患前列腺增生已经数年,虽然有夜尿增多和排尿困难的现象,由于生意繁忙,也没有引起足够重视。直到有一天感到症状加重,去医院检查,才发现已经癌变。刘先生很快在香港一家医院接受了手术去势治疗后,开始服用抗雄激素药物。出院后数月内觉得身体还不错,便又把所有的心思和精力都放在自己的生意上。
“可是,一年后复查,发现有淋巴结转移。我的主治医生告诉我抗雄激素药物可能失效了。于是我开始到处寻医问药的历程。经朋友介绍,到广州的一家有名医院接受了化疗和放疗。化疗的副作用非常明显,每天饭吃不下,头发也掉了许多,整个人都消瘦了不少,整天没精神。放疗结束后又发生间质性肺炎,整天干咳,非常难受。其实,这些我都能够忍受,只要能把病治好就行。但事于愿违,不仅淋巴结更广泛的转移,还出现了骨转移。骨转移的痛疼导致了我行动不便,不但治疗无明显效果,病情还严重加重。当时香港主治医生认为我来日不多了,他也无任何办法。”刘先生说。对于这突如其来的一切情况,让刘先生及家人感到猝不及防。当时,刘先生已经心灰意冷了,头脑中总浮现出“我的命不长了,我的家人、孩子、生意该怎么办?”
得知消息后,刘先生的老婆并不死心,又一次找到香港的主治医生。香港的主治医生告诉刘先生老婆:“现在香港医院所有的治疗手段都不会有效了,但听说在广东有一种叫做ACTL靶向性抗肿瘤细胞免疫科研治疗已经在广东被批准并纳入医保,建议刘先生去试试。”刘先生最终被老婆说服了,怀着死马当活马医的心态去试试。
一周后,刘先生终于在广州另一家有名的医院开始接受ACTL抗前列腺癌靶向性细胞免疫科研治疗,针对前列腺特异性抗原(PSA)、前列腺酸性磷酸酶抗原(PAP)和前列腺特异性膜抗原(PSMA)的三个靶点。治疗开始是每十天一次,共六次。后改为每十四天一次。4个月后进行PET-CT复查结果显示:转移病灶基本消失(见下图)。此时,刘先生自我感觉良好,已经没有以前明显的痛疼感,行动自如。刘先生激动的说:“在数次住院期间,别的病友都是站着进去,躺着出来。我却是躺着进去,站着出来。而且生意越来越旺!这是托ACTL治疗的福!”。6年来,刘先生坚持三个月左右接受一次ACTL技术科研治疗。
以下是他经过ACTL科研治疗前后的影像学变化:
治疗前
治疗后
一场疾病不仅是对患者本身的磨砺,更是考验着整个家庭的勇气以及承受能力。也许刘先生的经历并不足以帮助你减轻痛苦,但我相信,每个人都有超强的自愈能力,当你坚定起自我康复的信念时,重返健康的大门同时也向你敞开。

一位远道而来的翟姓中年人带着其父亲的病情资料找到了ACTL技术团队。他是听朋友说有一种全新的精准医疗技术,即ACTL抗肿瘤靶向性细胞免疫治疗(简称“ACTL技术”)后,为挽救身患晚期前列腺癌的老父亲的生命慕名而来。
其父亲翟老先生已经85岁高龄,平素身体很好。翟老先生逐渐卧床不起,当时并未引起重视,认为是身体衰老的缘故。可不久出现盆腔部位疼痛,而且日益加重,排尿困难也越来越明显。
翟老先生在家人的劝说下,被送至医院检查。腹部CT发现:1.右侧输尿管受侵 2.肝多发囊肿,右肾囊肿 3.盆腔少量积液 4.全身骨多发骨质破坏,相应部位FDG代谢活跃,考虑肿瘤骨转移。既往有胸椎骨质增生,冠状动脉粥样硬化。病理检查确诊为前列腺癌,格里森(Gleason)评分为4+4=8。
经过会诊,医生一致觉得翟老先生已失去了手术治疗指征,并考虑到年龄的问题,不建议化疗,只能采取内分泌治疗,即抗雄激素治疗。但医生认为由于病情的严重程度,格里森评分为8分,还出现颈部淋巴结的远端转移,被公认为不可治愈的高危型前列腺癌。所以治疗也无济于事,可能只有三个月左右的生存期。
面对医生的结论,翟先生并没有放弃挽救父亲生命的努力,开始持续寻找新的治疗方法。便出现了开头的一幕。
经ACTL技术团队的专家会诊,同样也认为病情十分严重,告诉翟先生ACTL抗前列腺癌靶向性细胞免疫科研技术治疗其父亲的疗效没有十足的把握。 但在翟先生的一再坚持下,专家精心制订了完整的ACTL联合防止骨破坏的治疗方案。ACTL科研治疗针对前列腺癌常见的3个靶抗原,即前列腺特异性抗原(PSA)、前列腺特异性膜抗原(PSMA)以及前列腺酸性磷酸酶抗原(PAP)。第一时间进行每10天一次冲击性ACTL科研治疗,后续再根据治疗情况调整治疗方案。
当翟老先生坐着轮椅被送至指定的医院时,医护人员看到有气无力的翟老先生面容憔悴时,心里对治疗是否有效的疑问大增。但是,奇迹总是在没有预料到的时候出现!经过ACTL科研治疗3次后,翟老先生的身体状况出现明显的好转,疼痛明显减轻,睡眠逐渐好转,食欲开始增加。
可此时血液化验结果却令人疑惑,化验结果显示血前列腺特异性抗原(PSA)出现明显升高,并且检查结果提示瘤体稍有增大。忧心忡忡的翟先生找到ACTL技术团队,询问这是否表明ACTL科研治疗治疗无效。专家根据翟老先生的临床表现,认为并不一定是病情恶化的表现,很可能是大量的癌细胞坏死,导致大量的癌细胞内容物被吸收或释放至血液中造成的。至于瘤体增大不能排除是由于大量的癌细胞坏死,造成肿瘤组织水肿所致。所以,也许是病情开始好转的现象。果然不出专家所料,血PSA明显升高30天后,出现迅速下降的趋势。CT,核磁共振和B超检查发现癌症病灶明显缩小。
翟老先生摆脱轮椅,并且可以独立行走了,而且排尿困难也完全消失。血PSA接近正常值。此时翟老先生精神抖擞,自己做家务,散步5公里也不会感到疲乏。今年10月全家聚会时,数月未谋面的亲戚看到翟老先生时,大吃一惊,发现翟老先生红光满面,白发中出现了黑发,皮肤比他们还好,而且握手非常有力。于是都向其讨教养生之道。
现在,翟老先生的ACTL科研治疗已经降至半个月一次,近期的化验结果显示血PSA已经恢复正常值。很快ACTL科研治疗的频率还将降低。ACTL技术团队的专家认为对于翟老先生的治疗,没有必要去追求把癌症病灶彻底消灭的目标,只要取得一种矛盾的平衡状态,保持很好的生活质量即可。最后祝翟老先生身体健康长寿!
以下是翟老先生在治疗ACTL技术期间的对比图:
|
ACTL科研治疗前后PSA抗原测定 |
|
|
日期 |
PSA |
|
治疗前1.24 |
>1000.000ng/ml |
|
治疗后2.1 |
>1000.000ng/ml |
|
2.13 |
1553.00ng/ml |
|
4.1 |
464.569ng/ml |
|
4.25 |
387.731ng/ml |
|
6.1 |
58.62ng/ml |
|
8.13 |
12.11ng/ml |
|
10.6 |
7.503ng/ml |
|
12.3 |
3.86ng/ml(正常) |
ACTL科研治疗前后检验报告单
治疗前后血清肿瘤标志物前后对比

治疗前(01.25化验报告单总前列腺特异性抗原>1000ng/ml)
治疗后(12.3化验报告单总前列腺特异性抗原3.86ng/ml)
ACLI科研治疗前后影像学

前列腺癌是我国中老年男性的主要恶性肿瘤之一,据统计,前列腺癌发病率位于我国男性恶性肿瘤的第六位,并超越膀胱癌为男性泌尿系肿瘤的第一位,并呈日渐增长的趋势。早期前列腺癌无症状,出现症状时基本属于晚期。部分患者因此而错失治疗机会。因此,针对特定的人群,召开前列腺癌知识的宣传和常规筛查十分必要,从而也达到早期诊断和早期治疗的目的,延长患者寿命。
确认是癌症,崩溃了!
因为尿频尿急,张先生到医院进行了一次检查,检查结果显示张先生的PSA指标高于正常值,张先生以为没有什么大的问题,便很快没放在心上。
半年后,他再次到医院进行检查,这次的检查结果让张先生懵呆了。因为他已患上了前列腺癌。
“前列腺癌、恶性肿瘤、晚期、转移”一系列可怕的术语在张先生耳边围绕着,使他陷入恐慌之中。顺利获得医生的耐心讲解,张先生进行了手术治疗,再接受抗激素治疗。但是三个月后在复查时发现,他的前列腺癌复发了,而且出现了骨转移和淋巴结。
不放弃,奇迹总会出现
在分析张先生的病史、影像资料、病理评估后,张先生后续又接受化学治疗和放射治疗,却无明显疗效,病情到是加重了。张先生觉得活不了多久时,无意中分析到ACTL科研治疗技术,经多方分析、咨询,张先生接受了ACTL科研治疗,针对张先生的病情以PSA和PSMA抗原的ACTL科研治疗为主的治疗后,病情明显好转,激素治疗重新有效,治疗后六个月PET-CT 复查结果提示,近98%的转移病灶消失。经回访张先生至今已生存8年。
以下是患者的详细信息:
|
患者诊断 |
: |
晚期全身转移的前列腺癌 |
|
治疗方案 |
: |
针对PSA和PSMA抗原的ACTL免疫科研治疗为主 |
|
治疗结果 |
: |
治疗后六个月PET-CT 复查结果提示,近98%的转移病灶消失。 |
ACTL科研治疗前后的影像学变化:


张先生在激素治疗和化疗治疗后,PSA在三个月后反弹,继续化疗,但仍无改善,并相继出现尿路感染和右跨疼痛。接受六次ACTL科研治疗后,PSA回落,疼痛感消失。
患者张先生,男,58周岁,确诊为前列腺癌。查血清血肿瘤标记物PSA为1496,CT扫描结果显示有骨转移。给予LHRH(促黄体激素释放激素)激素治疗。同时进行激素治疗和化学治疗(多西他赛),相继检测PSA分别为(20)(7.7)(2.5)(1.1),最后一次检测为0.7,已处于正常范围内。
随后,PSA反弹,升至6.3,接受激素治疗(氟他胺),但效果不佳。陆续在使用两个循环多西他赛,查PSA分别为30和67,后由于出现尿路感染,暂停使用多西他赛。11月,查PSA值为140。11月30日继续使用多西他赛。12月,患者自述站立时右侧胯部有疼痛感。
患者开始ACTL靶向性免疫科研治疗,治疗后,PSA迅速回落。4月29日,PSA已降至13。现在,患者自我感觉良好,胯部疼痛感消失。

回首自己患癌的日子,是家人的陪伴,给予我力量,给予我温暖。也让我明白了“癌”并不可怕,可怕的是没有勇气去面对它。只要有信心去面对癌症,治疗癌症都是有希望!
得知患癌的那天,我感觉天都塌了
我是一名退体老人,今年65岁,人的岁数大了,身体便出现各种疾病。起初我只是腹部不舒服,总感觉隐隐作疼,吃饱了的时候,就时常有种消化不良的感觉。后来疼痛感增强了,还出现黏血便,时常感觉乏力,身体也日益消瘦。我老伴见我食量明显减少,便询问我哪儿不舒服?在她的询问下,我便一五一十地告诉了她,并在她的陪伴下到医院进行了检查。
检查结果出来后,全家人都瞒着我,不让我看。后来我发脾气,老伴含着泪,将检查结果报告拿给我看。报告显示:血癌胚抗原(CEA)升高明显,腹部CT检查发现结肠脾曲占位性病变。初步诊断为结肠癌。看到“癌”字的一瞬间,心情就如晴天霹雳一样,猛然在我的天空炸响。看完检查报告后,我一句话也没说,老伴、儿子和儿媳妇不断地劝我,说这还是早期,只要好好治疗就不会有事。
亲情护航,让我萌生了战胜癌症的信心
最终,在老伴与我谈话后,重燃起我对生活的希望。她说:“现在孩子都大了,他们不希望老父亲终日愁眉苦脸。现在的孩子,生活压力大,又要为老人操心,他们也着实挺累的”。老伴一边跟我说着这些话,一边与我回忆往昔温暖牵手的日子。那些苦难中的温馨记忆,让我感到做为一个父亲的责任感,也让我萌生了战胜癌症的信心。
我很快在医院接受了手术切除治疗。手术很成功,而且我醒过来后,周围全是亲人们热情的脸。“爸,还好吧!”“爷爷,还好吗?”当时的心情已无法用语言来表达,强忍着眼角的泪水,说道:“好,一切都挺好的,没啥不舒服的地方”。
浓浓情与爱,让我生命的天空艳阳高照
在手术后,接受了6个疗程的化疗,虽然副作用明显,但我还是能忍受。医生也认为治疗较为理想。可好景不长,5个月后出现大便中带有粘液和血。便到医院进行复查,结果被告知,癌症复发,有明显的转移病灶。于是又再次出院接受了 8个疗程的化疗。这次副作用特别大,不仅恶心和呕吐,吃什么都没有味道,而且大把脱发,简直是生不如死。如果能治疗有效,遭受这些折磨也值得。但治疗结束后,医生告诉我疗效不是很好,而且出现明显的骨髓抑制,不能再进行化疗了,要我好好休息。可是癌症可不休息啊!
儿子心有不甘,就到处咨询、打听其它的治疗方式。当分析到ACTL靶向性抗肿瘤细胞免疫科研治疗可能有效,而且该治疗毒副作用小,不需要住院。于是劝我接受治疗。经过免疫组化检查,确定ACTL科研治疗针对的靶点为癌胚抗原(CEA)、角质蛋白19型(CK19)、前列腺特异性膜抗原(PSMA)、生存素抗原(Survivin)。治疗一段时间后,肿瘤标志物下降至正常,代谢性增高病灶消失。总共接受了ACTL科研技术治疗39次,多次复查都保持正常。在老伴和孩子们的鼓励和支持,我自己坚持正确而有效的治疗,又让我得到了重生的机会。
这五年来让我感受到了生命存在的意义,我活得更温馨、更精彩!
以下是我使用ACTL科研技术治疗期间的对比图:
|
ACTL科研治疗前CEA及CA19-9抗原测定 |
ACTL科研治疗后CEA及CA19-9抗原测定 |
||||
|
日期 |
CEA |
CA19-9 |
日期 |
CEA |
CA19-9 |
|
5.7 |
3.21 |
19.61 |
9.11 |
2.40 |
11.51 |
|
6.6 |
9.68↑ |
14.69 |
第2年2.24 |
2.51 |
16.15 |
|
6.7 |
6.25 |
17.87 |
5.16 |
4.06 |
16.87 |
|
9.23 |
3.58 |
11.38 |
6.24 |
4.51 |
21.69 |
|
6.18 |
3.64 |
16.69 |
8.13 |
7.78 |
19.25 |
ACTL科研治疗后影像学变化

对于我这种晚期结肠癌病人来说,能活到现在,真有九死一生的感觉。如果当初不坚持自己的信念,尝试接受新的治疗手段,我可能已经不在人世了。
四年前的某一天,身体突然出现了腹胀、消化不良,而后又排便习惯改变。起初工作太忙,没有太在意。但出现血便后,在老婆和女儿的“勒令”及“挟持”下去了医院检查,检查结果让我有点懵——结肠癌!
手术、化疗治疗,让我苦不堪言
我一生中遭受过无数次挫折和打击,都挺过来了,虽然大家谈癌色变,但我相信自己正值中年,身体素质好,鬼门关离我还很遥远。但现实的折磨,让我完全丧失了信心。癌症是一种让人丧失尊严的疾病,这句话一点也不假。住院后,很快接受了手术切除,然后进行了化疗。化疗期间,我的头发大把大把的掉落,恶心呕吐,吃什么都无味。身体很快消瘦,脸色蜡黄,并且浑身无力。这样的日子实在难熬,没有一点生活质量。出院时医生叮嘱我定期复查,这意味着还可能复发。我的心全凉了:我还要经受多少次折磨后才能进鬼门关啊!
改变治疗方式,病情足见好转
但是,怕什么就来什么。8个月后的某一天,感到腰部有些不舒服,我已经成惊弓之鸟了,便到医院检查。检查结果给我当头一棒:不仅血肿瘤标志物明显升高,癌胚抗原(CEA)500多,并且有很大转移病灶。医生建议我再次进行手术切除治疗,但医生告诉我手术切除治疗也不能保证不会出现其它的转移病灶。如果不做手术治疗,只做化疗,即不能保证有效,也能保证不会出现其它的转移病灶。当时我瞬间觉得心凉了半截,哪做这手术有何作用呢?不是折腾自己吗?挨了这刀后还是会转移或复发,那得挨多少刀才有用呢?做化疗?想起上次的治疗经历,又要把自己折磨得死去活来,还不如死了算了!
于是我向医生说明我的想法:“既然保证不了不会复发,就不想再做任何治疗了,就随它去吧!”医生立马批评了我这种消极的态度,认为我这种听天由命和等死的想法及其不妥,并且很不负责任。老婆和女儿也数落我,把我拉去看专家门诊,希望找到更好的治疗方法。专家耐心听我唠叨后,建议我尝试ACTL抗结肠癌靶向性细胞免疫治疗。还告诉我,这种治疗没有什么毒副作用,也不需要住院,不影响生活质量。听完医生介绍后,产生了去试试这个新的治疗的念头。妻子也劝说我,既然没什么毒副作用,又不影响你的生命质量,为什么不去试下看?于是,我便接受了ACTL靶向性细胞免疫技术。
针对我转移性结肠癌,我接受了针对癌胚抗原(CEA)、角质蛋白19型抗原(CK19、CYFRA21-1)、生存素抗原(Survivin)、前列腺特异性膜抗原(PSMA)、和黑色素瘤抗原(MAGE-A3)5个抗原靶点的ACTL靶向性细胞免疫治疗。由于我的转移病灶比较大以及明显,医生建议我每十天一次,6次治疗后,改为每月两次。治疗2个月后,血肿瘤标志物迅速下降,身体状况也明显好转。这给我坚持继续治疗的信心。治疗5个月后,转移病灶明显缩小,血肿瘤标志物恢复正常。我现在精神饱满,饭量比患病前还大。困扰多年的失眠也没有了。今年还去西藏自驾游。老婆和女儿说我焕发了第二春。
ACTL科研治疗前后影像学变化如下:
现在我每3个月接受一次ACTL科研治疗,今年已是第五年了,身体状况良好,没有任何复发现象。大家要我谈谈抗癌的体会。其实就是一句话:任何时候都千万别放弃,建立自信心,听从医生的合理建议,努力并坚持治疗。

“知道得癌症时,心中有两种选择,要么静静的躺下来任由癌魔摆布,爱咋咋地。要么换种活法,豁出去。当时儿子才18岁,刚上大学,我想看着我儿子长大,所以我决定去战斗,”48岁时被确诊为大肠癌的张先生平静的讲起自己的癌症故事。
张先生是一名出租车司机,有痔疮病史的他,和平常一样出现了便血,可这次不但量多还腹痛,肛门口的疼痛也比往日严重,后到医院进行了检查,结果告知张先生得了大肠癌。张先生说:“知道得了癌症的第一反应就是对未知的恐惧无限放大。癌症两字,放在别人身上,你只是感觉它可怕,在自己身上,简直就是被判死刑,绝望至极,凉到脚心。开车回家的路上,看着结果为癌症的单子,虽然没哭出来,但我知道泪珠在眼眶里打转。想着儿子刚上大学,还有一大笔学费靠他去挣。并想看着他从毕业到结婚生子,就这样才下定决心去持续治疗。”
张先生到医院进行手术治疗,然后又进行了化疗,治疗结束后,张先生恢复得很快,此时的他觉得心安了。因工作忙,加上对癌症方面的知识缺乏,身体也没出现什么症状,便时常没去复查。
张先生感到身体不适。又到医院进行检查,医生说是癌症复发了,并有腹腔转移。“听到复发,家人比我还紧张,可我不再那么恐惧了,在我概念里死神已经与我很近了。但看着儿子查阅很多关于大肠癌的资料时,并把它钉起来,加起来总共上百页,还在重点处做了标记。在儿子的鼓励下我又住院进行了化疗。”张先生说道。
“在化疗的那段时间,反复的抽血、化验、检查和输液,经常面对陆续在几个小时的输液,再加上身体的各种不舒服,很容易让人消极,有时还趴在床上偷偷哭过。”说到这时,张先生还有点不好意思,停顿了一小会。可能是回忆起当时的情景还历历在目,有些感触。
对着我笑过后,继续说道:“化疗一段时间后,病情并未得到改善。医生就建议我放弃化疗,使用ACTL靶向性抗肿瘤细胞免疫技术。只要有一线希望我都不会放弃!在分析ACTL科研治疗技术后,便毅然签下了ACTL科研治疗的知情同意书。医生结合了我的病情,使用针对CEA、Her-2/neu和PSMA抗原的ACTL科研治疗1年。前6个月每月接受2次治疗,后每月接受1次治疗。疗效后效果很明显,疼痛感都没有了,身体感到很舒服。顺利获得ACTL科研治疗后到至今身体从未感受到有不适之处,反而觉得更精神了。以前开一天出租车,总觉得很疲劳,整天昏昏沉沉。现在觉得自己年轻了十多岁,精神抖擞,一天出车挣的钱比以前二天的还多。”张先生讲到这时,可以看出他从刚得知癌症的恐惧到治疗过程的坚难历程,以及得到有效的治疗,这一切的酸甜苦辣都从他那朴实的面孔中表现出来了。以下图片是张先生顺利获得ACTL科研治疗7个月后的病情对比,可明显看到腹腔转移病灶明显消失的变化过程:
“至于未来会怎样,我不愿意去想,活着的时候就要好好珍惜,抓紧做一些想做的事情”张先生最后说道。其实很多东西,只有当royal皇家88快要失去的时候才倍感珍贵。生命如此,感情如此,亲情也如此。royal皇家88总是期待着天荒地老、地久天长,却不懂得去经营和珍惜,等到真正大彻大悟的时候却为时已晚。如此看来,还是知足为好,人生追求什么完美?能够每天快快乐乐的活着就是最好的了。
在线咨询
0755-8668-0658